L'expansion palatine chez l'enfant : pourquoi et comment?

L'expansion palatine est un traitement orthodontique précoce qui peut prévenir des problèmes importants.

L'expansion palatine chez l'enfant : pourquoi et comment?

Par Dr David Benguira, Orthodontiste spécialiste

Parmi les traitements orthodontiques précoces, l'expansion palatine est l'un des plus efficaces et des plus transformateurs.

Qu'est-ce que l'expansion palatine?

Le palais est composé de deux os reliés par une suture centrale. Chez l'enfant, cette suture n'est pas encore fusionnée. L'expansion palatine utilise cette caractéristique pour élargir progressivement le palais.

Pourquoi élargir le palais?

  • Manque d'espace pour les dents permanentes
  • Articulé croisé
  • Respiration buccale chronique

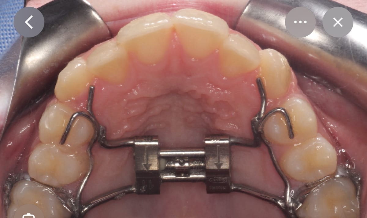
L'appareil d'expansion

L'expanseur palatin est fixé sur les molaires supérieures. Une vis centrale permet d'activer l'expansion. Chaque tour élargit le palais d'environ 0,25 mm.

À quel âge intervenir?

L'âge idéal se situe entre 7 et 12 ans, avant la fusion complète de la suture palatine.

Consultation gratuite disponible au Centre Orthodontique du Dr David Benguira.

Read more